Риноцитограмма
Онлайн-запись на приёмНасморк, сохраняющийся дольше обычного, может иметь различные причины. Он может быть симптомом аллергии, хронической инфекции или даже реакции на лекарства. Риноцитограмма — это мазок со слизистой оболочки носа, который подсказывает, какой именно процесс разворачивается в организме: инфекционный, аллергический или, например, вазомоторный — связанный с нарушением сосудистого тонуса. В лабораторных направлениях и медицинских картах это исследование также может называться «мазок из носа на эозинофилы», «цитологическое исследование назального секрета» или «цитограмма носового мазка».
Уточнение характера воспаления принципиально важно, поскольку терапевтический подход зависит от природы воспалительного процесса.
Риноцитограмма в Москве - цены
| Прием врача-отоларинголога, первичный | 2 700 руб. | |
| Прием врача-отоларинголога, повторный | 2 600 руб. |
Показания
Риноцитограмма назначается врачом, если нужно уточнить причину воспаления слизистой оболочки носа. Исследование рекомендуется в следующих случаях:
- насморк сохраняется дольше обычного или носит рецидивирующий характер;
- имеются выделения из носа различного характера (слизистые, водянистые, гнойные);
- наблюдается заложенность носа без явных причин;
- присутствуют зуд, ощущение сухости, жжение или частое чихание;
- есть подозрение на аллергическую природу ринита, но другие методы диагностики не дали однозначного результата;
- текущая терапия оказывается неэффективной, и требуется уточнение диагноза.
Абсолютных противопоказаний к проведению риноцитограммы нет. Однако при наличии выраженного воспаления, травмы слизистой оболочки или недавнего оперативного вмешательства в области носа исследование может быть отложено или выполняться с осторожностью.
Как проходит исследование
Риноцитограмма — это неинвазивная и быстрая процедура, которая проводится в амбулаторных условиях. Врач или медсестра берет мазок со слизистой оболочки носа при помощи стерильного одноразового инструмента — ватной палочки или специального шпателя.
Мазок берут из каждой ноздри отдельно, аккуратно проводя инструментом по внутренней поверхности носового хода. Это занимает не более нескольких секунд и не вызывает выраженного дискомфорта. При выраженной заложенности носа процедура может быть менее комфортной, но остается безопасной.
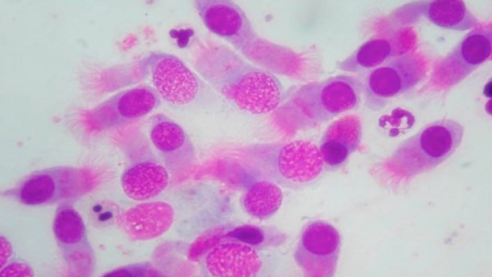
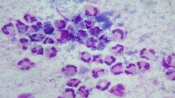
Полученный материал наносят на предметное стекло и окрашивают специальными красителями. Далее его изучают под микроскопом. Врач-лаборант оценивает состав клеток: наличие и количество лейкоцитов (в том числе эозинофилов, нейтрофилов, лимфоцитов), эпителия, слизи, микроорганизмов.
Результат оформляется в виде описания цитологической картины и передается лечащему врачу для интерпретации.
Как подготовиться к анализу
Чтобы риноцитограмма была информативной, важно соблюдать несложные правила подготовки:
- За 24 часа до исследования следует прекратить использование назальных капель и спреев, особенно содержащих кортикостероиды, антигистаминные или антибактериальные компоненты.
- За 3–4 часа до процедуры не рекомендуется промывать нос или использовать любые местные средства.
- Непосредственно перед сдачей анализа не следует чистить нос — механическое удаление слизи может повлиять на состав клеток и исказить результат.
- Исследование желательно проводить утром, до приема пищи, особенно если параллельно планируются мазки из ротоглотки или другие диагностические процедуры.
Если вы принимаете системные противоаллергические препараты, стоит заранее обсудить с врачом, нужно ли делать перерыв перед исследованием.
Интерпретация результатов исследования
Результат риноцитограммы представляет собой описание клеточного состава мазка, взятого с поверхности слизистой оболочки носа. Лаборатория указывает наличие и относительное количество различных типов клеток, а также сопутствующих элементов — слизи, микроорганизмов, иногда грибов или эритроцитов. Основное внимание при интерпретации уделяется следующим показателям:
- Эозинофилы. Повышенное содержание (более 10% от общего числа лейкоцитов) характерно для аллергического ринита. Однако их отсутствие не исключает аллергическую природу заболевания: эозинофильная реакция может быть временно снижена или смещена в другие ткани.
- Нейтрофилы. Преобладание нейтрофильных лейкоцитов обычно указывает на инфекционный (вирусный или бактериальный) характер воспаления, особенно при острой фазе заболевания.
- Лимфоциты. Их увеличение может свидетельствовать о хроническом инфекционном процессе.
- Клетки мерцательного эпителия. Являются нормальным компонентом мазка, но их состояние и соотношение с лейкоцитами могут давать врачу дополнительную информацию.
- Эритроциты. В небольшом количестве могут появляться при травме слизистой или повышенной сосудистой проницаемости — например, при гриппе или дифтерии.
- Слизь и микрофлора. Эти элементы оцениваются качественно и дополняют общую картину.
Риноцитограмма не является самостоятельным основанием для постановки диагноза, но дает врачу дополнительную информацию для дифференциальной диагностики и оценки характера воспаления. Окончательное решение о диагнозе и лечении принимает специалист с учетом всех данных — анамнеза, осмотра, других анализов.
Преимущества риноцитограммы
Риноцитограмма не требует сложной подготовки и подходит как взрослым, так и детям. С клинической точки зрения исследование позволяет:
- оценить тип воспаления (аллергический, инфекционный, неаллергический эозинофильный и др.);
- уточнить причину хронического или плохо поддающегося лечению ринита;
- скорректировать план лечения с учетом клеточного состава;
- избежать ненужного назначения антибиотиков или противоаллергических препаратов.
Цитологическое исследование назального секрета помогает назначить более точное и эффективное лечение, особенно в тех случаях, когда симптомы сохраняются, а результаты других анализов не дают ясной картины.
Наши специалисты работают круглосуточно и без выходных!
Михайловна
Давидович
-
Клиника на Белорусскойм. Белорусская, ул. 1-я Тверская-Ямская, дом 29 (3 этаж)+7 (495) 324-88-229:00 - 21:00
-
Клиника на Курскойм. Курская, ул. Земляной вал, дом 38-40/13, строение 6+7 (495) 324-88-229:00 - 21:00
-
Клиника на улице 1905 годам. Улица 1905 года, ул. 1905 года, дом 21+7 (495) 324-88-229:00 - 21:00
-
Клиника на Авиамоторнойм. Авиамоторная, ул. Авиамоторная, дом 41 Б+7 (495) 324-88-22Круглосуточно
-
Клиника на Новых Черемушкахм. Новые Черемушки, ул. Гарибальди, дом 36+7 (495) 324-88-229:00 - 21:00
-
Клиника на Проспекте Вернадскогом. Пр. Вернадского, ул. Проспект Вернадского, дом 37, корпус 1а+7 (495) 324-88-22Круглосуточно
-
Клиника на улице Академика Янгелям. Улица Академика Янгеля, ул. Россошанская, дом 4, корп. 1+7 (495) 324-88-229:00 - 21:00
Статьи по теме
ООО "МЕДЦЕНТРСЕРВИС"
Регистрационный номер лицензии на осуществление медицинской деятельности: Л041-01137-77/00368093
Лицензия выдана 19 января 2021 года Департаментом здравоохранения города Москвы.

